Лечение рака легких в клинике “Ассута”
Рак легких (бронхогенный рак, бронхогенная карцинома) – наиболее часто встречающийся вид злокачественной опухоли. Часто бывает, что ранняя диагностика этого заболевания затруднена т.к. начальные стадии болезни могут не характеризоваться какими-нибудь явными признаками или совпадают с признаками других заболеваний, например пневмонии.
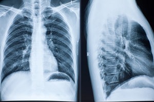
Онкологическая больница Ассута» обладает самым современным медицинским оборудованием, позволяющим произвести обследования, которые определят любой вид рака легких (мелкоклеточный, центральный, периферический, плоскоклеточный и др) на самых ранних его стадиях. К таким видам проведения исследований рака относятся, как новейшие – тонкоигольная аспирационная биопсия, торакоцентез (плевральная пункция), так и традиционные – рентген, низкодозовая спиральная компьютерная томография, бронхоскопия, компьютерная томография, магнито-резонансная томография, позитронно-эмиссионная томография, анализ крови и другие методы точнейшей диагностики заболевания. Все эти методы позволяют точно установить, подтвердить или опровергнуть диагноз этого тяжелейшего заболевания.
- При подтверждении диагноза, врачами Комплекса «Ассута», составляется план индивидуального комбинированного курса лечения. На ранних стадиях больному предлагается операция, химиотерапия и/или радиотерапия. Раннее определение рака легкого и своевременно проведенный нашими врачами курс лечения, позволяет повысить больному шансы на выживание до 89 процентов по окончанию лечения.
На более тяжелых стадиях, когда рак выходит за пределы легкого, больной часто уже неопереабелен. Врачи клиники лечат пациентов методами радио и химиотерапии, в сочетании с индивидуальной терапией. Также пациентам, могут назначить целевую лекарственную терапию, паллиативную терапию или провести с ними эффективные экспериментальные схемы лечения. В некоторых случаях, после предоперационного лечения, состояние больного настолько улучшается, что он становиться операбельным и к нему могут быть применены следующие методики оперативного вмешательства. Клиновидная или сегментарная резекция – для удаления сегмента пораженной ткани. Пневмонэктомия или лобэктомия – удаление легкого или его доли. Врачи Комплекса «Ассута», многие с мировым именем, сделают все возможное, для того, чтобы сделать процесс лечения максимально комфортным для пациента. У нас накоплен огромный опыт эффективного лечение рака легких на поздних стадиях.
Получите квалифицированную консультацию прямо сейчас. Заполните заявку на сайте или позвоните по указанному телефону. Звонок бесплатный. Наши консультанты работают круглосуточно и могут связаться с Вами в любое удобное для Вас время.
Помните рак легкого – не приговор, а только диагноз!


info@assuta-israel.org.il